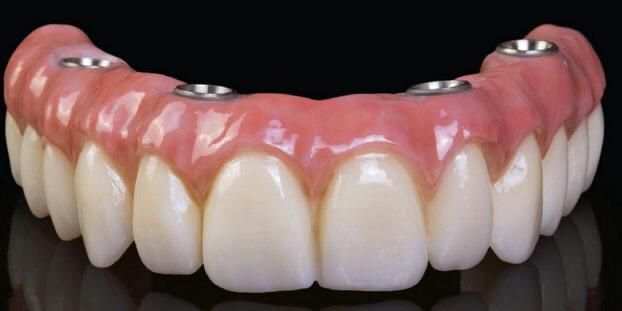
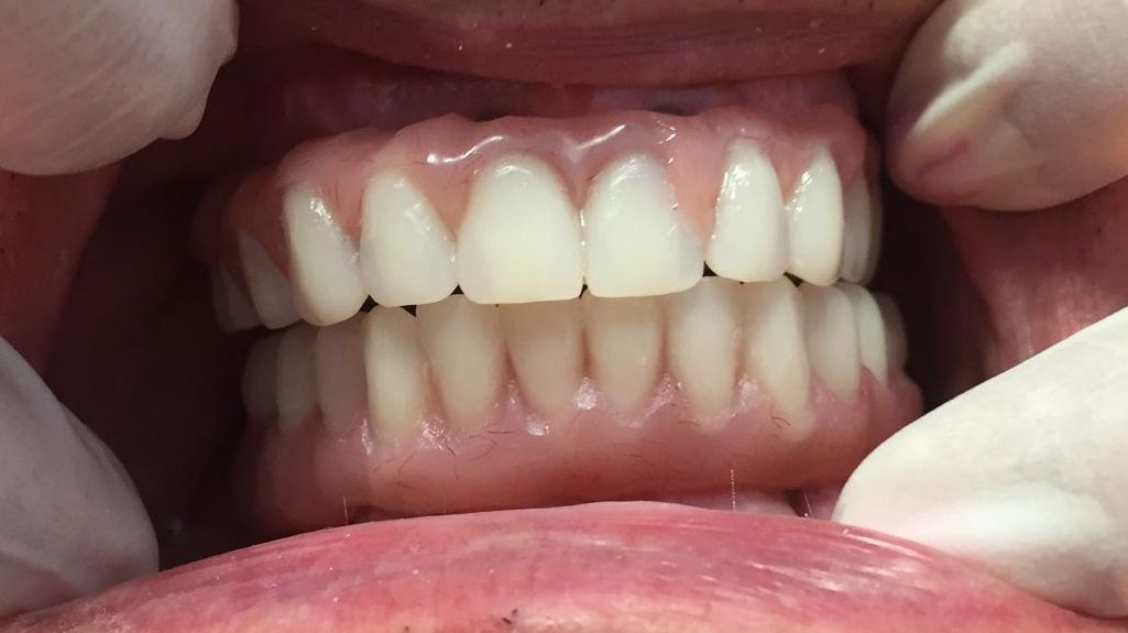
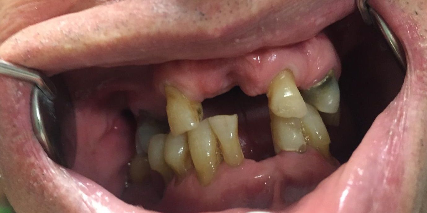
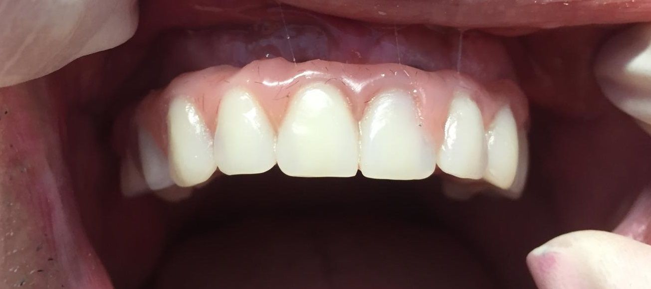
Riabilitazione fissa post-estrattiva
con impianti e carico Immediato
Intervento eseguito in analgesia cosciente
completato in 24 ore.
Click su immagine per foto gallery
Via Vittorio Emanuele, 33 Calenzano (FI)
Tel. 055 8826204 email info@ccsdentalstudio.it